Taxonomie
![]() |
CoL Id 36B65 |
|---|---|
|
GBIF Id 5421410 |
| Classification | Tracheophyta > Magnoliopsida > Caryophyllales > Droseraceae > Dionaea |
| Auteur·e | Ellis |
| Statut | Accepted name |
| Source | Droseraceae Database |
Distribution 
Lames
| Lame | Localisation | Source | Collecteur·rice | Qualité | Contaminée |
|---|---|---|---|---|---|
| 4659 | |||||
| 4821 | Amérique du Nord | bad | non |
Photos
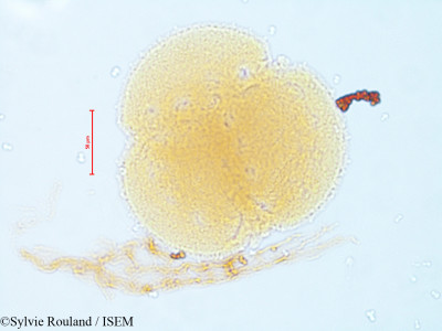
- Lame n° 4821
- Amérique du Nord
- Ellis
- Lame n° 4821
- Amérique du Nord
- Ellis
- Lame n° 4821
- Amérique du Nord
- Ellis
- Lame n° 4821
- Amérique du Nord
- Ellis
- Lame n° 4821
- Amérique du Nord
- Ellis
- Lame n° 4821
- Amérique du Nord
- Ellis
Conditions d'utilisation
Toute utilisation de données distribuées par l’OSU OREME sur le portail data.oreme.org impose à minima le respect des conditions suivantes :- Respecter les conditions imposées par la licence sous laquelle les données sont distribuées ;
- Citer les données en respectant la citation fournie;
- Respecter les éventuelles conditions d'utilisation spécifiques fournies ;
- Remercier l’OSU OREME.
