Taxonomie
![]() |
CoL Id XZJR |
|---|---|
|
GBIF Id 8033053 |
| Classification | Tracheophyta > Magnoliopsida > Solanales > Convolvulaceae > Convolvulus |
| Auteur·e | Salisb. |
| Statut | Synonym |
| Taxon accepté | Convolvulus siculus subsp. siculus |
| Source | World Plants |
Distribution 
Lames
| Lame | Localisation | Source | Collecteur·rice | Qualité | Contaminée |
|---|---|---|---|---|---|
| 3080 | Afrique |
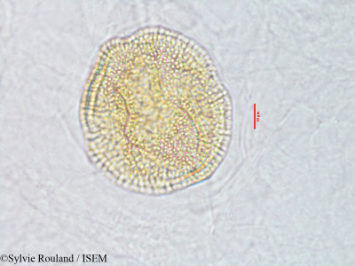
Photos
- Lame n° 3080
- Afrique
- Salisb.
- Lame n° 3080
- Afrique
- Salisb.
- Lame n° 3080
- Afrique
- Salisb.
- Lame n° 3080
- Afrique
- Salisb.
- Lame n° 3080
- Afrique
- Salisb.
- Lame n° 3080
- Afrique
- Salisb.
Conditions d'utilisation
Toute utilisation de données distribuées par l’OSU OREME sur le portail data.oreme.org impose à minima le respect des conditions suivantes :- Respecter les conditions imposées par la licence sous laquelle les données sont distribuées ;
- Citer les données en respectant la citation fournie;
- Respecter les éventuelles conditions d'utilisation spécifiques fournies ;
- Remercier l’OSU OREME.
